Vier 30 jaar Velthuis kliniek en ontdek onze jubileumacties! 

Lees meer
Velthuis kliniek app

Tel: 088 - 7785201

Onderooglidcorrectie

vanaf 2.295,-

Last van wallen of verslapte onderoogleden? Dat kunnen we verhelpen!

Plan een intake
Of neem contact op: 088 - 7785201

MA - DO

08.00 - 18.00

VR

08.00 - 17.00

Of neem contact op

Vertrouw op Velthuis kliniek

Behandeling onder plaatselijke verdoving, waardoor je snel weer naar huis kunt

Behandeling door een ervaren plastisch chirurg

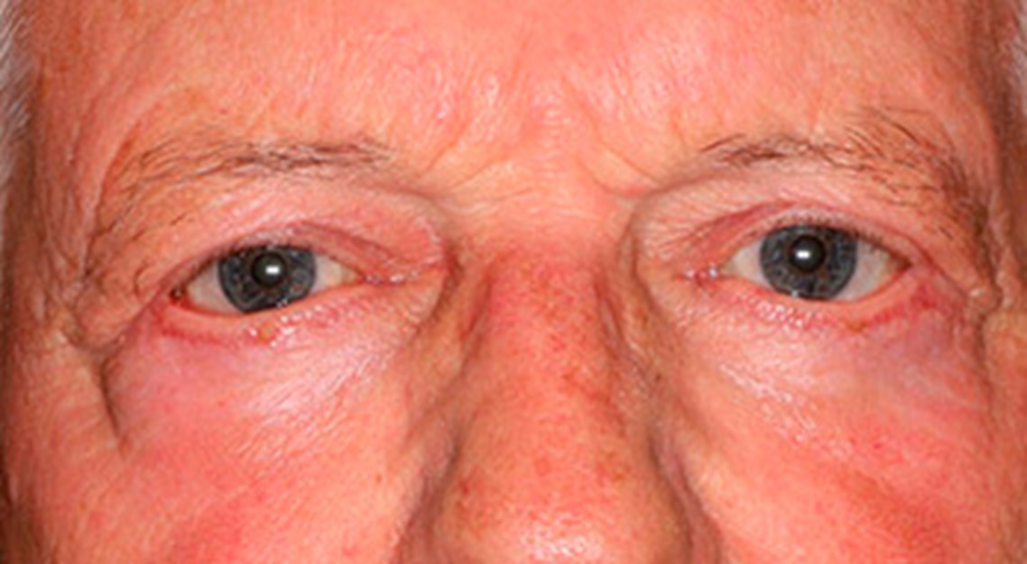
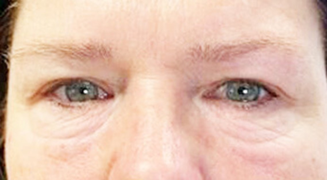
Wanneer je erg last hebt van wallen, zie je er al snel vermoeid uit

Verslapte onderoogleden of wallen geven je een vermoeide uitstraling. Dat kan erg storend zijn. Gelukkig kunnen we dit met een onderooglidcorrectie eenvoudig verhelpen.

Video resultaten

De Kliniek 2

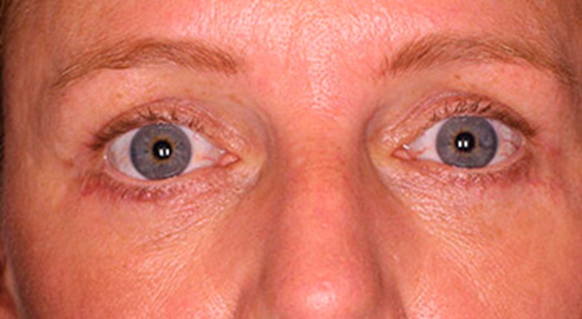
Boven- en onderooglidcorrectie

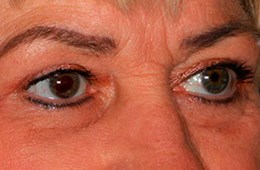
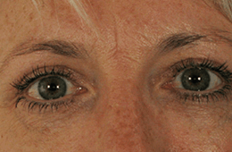
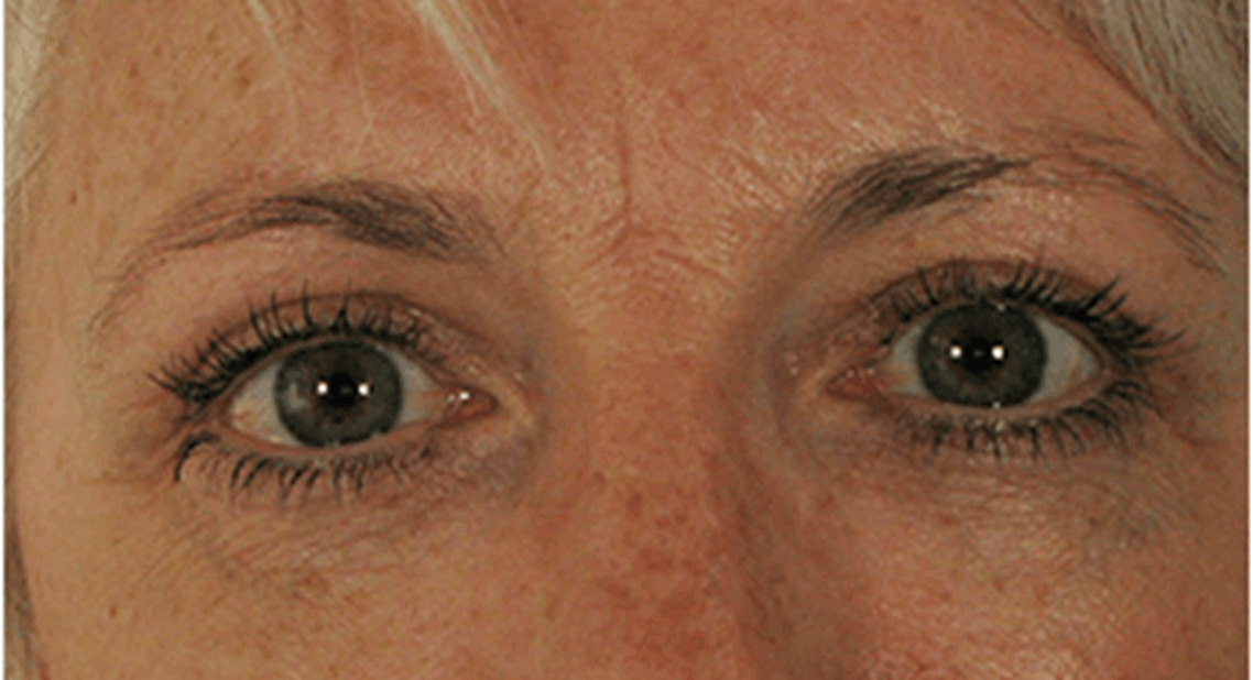
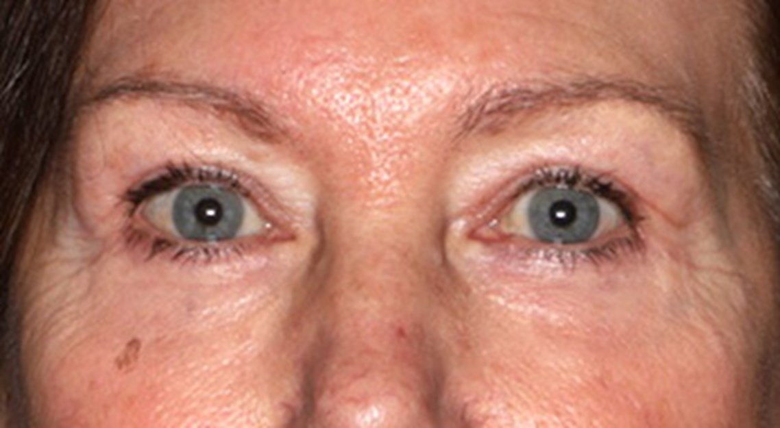
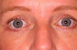
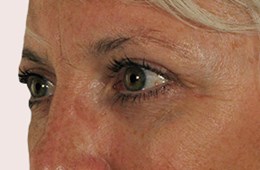
Resultaat van een onderooglidcorrectie

Uit het tv-programma 'Het zit in de familie'

Animatie onderooglidcorrectie

De stappen van een onderooglidcorrectie

  • Telefonische intake

    Telefonische intake

    Bel 088 – 7785201 (ma-do van 8-18 uur, vrij van 8-17 uur). Je krijgt dan een van de medewerkers van ons Informatiecentrum aan de lijn. Zij vragen je naar je klachten en je wensen en plannen op basis daarvan een consult in bij de arts die jou het beste kan helpen. Uiteraard houden we rekening met de plaats waar je woont en de dagen die voor jou handig zijn.

    Om het consult zo goed mogelijk voor te bereiden vragen we naar je medische achtergrond en je medicijngebruik. Ook ontvang je alvast informatie over de behandeling.

    Direct contact opnemen

    MA - DO 08.00 - 18.00

    VR 08.00 - 17.00

  • Advies gesprek met arts

    Consult met je behandelend arts

    Tijdens het consult spreek je de medisch consulente en de plastisch chirurg. De medisch consulente geeft je eerst informatie over de behandeling, de voor- en de nazorg. Zij zal je persoonlijke aanspreekpunt zijn tijdens het gehele behandeltraject. Het werkelijke consult volgt bij de plastisch chirurg.

    Bij Velthuis kliniek zie je altijd de arts die je later ook gaat behandelen. Je bespreekt samen je wensen en je verwachtingen. De arts kan je precies uitleggen welke behandeling voor jou het meest geschikt is. Hij/zij geeft je eerlijk advies over het te verwachten resultaat, de risico’s en het herstel.

    Besluit je de behandeling te doen, dan wordt alle informatie op papier gezet. Samen met de plastisch chirurg onderteken je deze behandelovereenkomst.

  • De behandeling

    De behandeling

    Voor de behandeling maken we foto's voor in je medisch dossier. Meestal vindt de ingreep plaats onder sedatie of narcose. Bij een kleine hoeveelheid huidoverschot kan het onder plaatselijke verdoving.

    Heb je last van vetwallen, dan kan het teveel aan uitpuilend vet onder de ogen worden weggehaald. Dit gaat via het slijmvlies aan de binnenkant van het ooglid. Voordeel hiervan is dat er geen zichtbare littekens ontstaan. Het sneetje (de incisie) hoeft namelijk niet gehecht te worden. Bij huidzakjes wordt het te veel aan losse huid verwijderd. Met een sneetje vlak onder de wimperrand. Een klein litteken blijft dan wel zichtbaar, maar dit is uiteraard zo minimaal mogelijk.

  • Nazorg

    De nazorg

    Wanneer je rustig bent bijgekomen van de operatie mag je meteen naar huis. Je mag niet zelf autorijden, neem dus iemand mee die je naar huis kan brengen. De eerste dagen zijn je ogen gezwollen en blauw. Goed en regelmatig koelen helpt daartegen. Na een week mogen de hechtingen eruit en ben je meestal wel weer toonbaar. Soms blijft de huid nog langer rood zien; vooral bij een dunne huid kan dit wel enkele maanden duren.

    Een onderooglidcorrectie geeft in de regel weinig napijn. Heb je toch last, neem dan een paracetamol.

    Het resultaat is na het wegtrekken van de zwelling al goed te zien. Het uiteindelijke resultaat is na enkele maanden zichtbaar.

    Tijdens de eindcontrole op de kliniek worden er foto’s gemaakt voor in je medische dossier. Goed om te weten: de kliniek is 24/7 bereikbaar voor vragen of als je je zorgen maakt over je herstel.

  • Risico's

    Risico's

    Elke operatie brengt risico’s met zich mee. Er is een kleine kans op een allergische reactie op de verdovingsvloeistoffen, desinfecteermiddelen of pleisters, een infectie, trombose, verstoorde wondgenezing of een nabloeding. Ook zijn er kleine risico's verbonden aan de sedatie of de narcose.

    Een specifieke complicatie bij een ooglidcorrectie is dat je tijdelijk last kunt hebben van droge ogen na de operatie. Dit is eenvoudig te verhelpen met druppeltjes.

    Lees ook de chirurgische bijsluiter onderooglidcorrectie van de Nederlandse Vereniging voor Plastische Chirurgie.

Welke plastisch chirurgen helpen je bij deze behandeling?

Deze artsen zijn gespecialiseerd in onderooglidcorrecties. Zij zullen er alles aan doen om je de frisse oogopslag te geven die je zo graag wilt.

Maak kennis met onze specialisten

Kosten

Wat kost een onderooglidcorrectie?

Tijdens het consult zal de arts de verschillende behandelmogelijkheden met je bespreken. Wat je ook kiest, je bent bij Velthuis kliniek verzekerd van de allerbeste zorg.

Meer informatie over onderooglidcorrecties

Veelgestelde vragen

Na hoeveel tijd kan ik weer aan het werk? Mag ik lenzen dragen na een ooglidcorrectie? Het antwoord op deze vragen vind je hieronder. 

Na hoeveel tijd kan ik weer aan het werk?

De meeste mensen gaan na een onderooglidcorrectie na een week weer aan het werk. Dat komt vooral omdat je de eerste week niet toonbaar bent. Je mag die week al wel licht huishoudelijk werk doen. Zware lichamelijke inspanning mag de eerste maand na de operatie niet. De genoemde termijnen zijn gemiddelden.

Mag ik lenzen dragen na een ooglidcorrectie?

Je mag nadat de hechtingen zijn verwijderd weer lenzen dragen, mits je niet aan de oogleden hoeft te trekken om ze in en uit te doen. Je mag gewoon een bril dragen.

Hoe lang blijft het resultaat zichtbaar?

Gemiddeld heb je van een ooglidcorrectie 10 tot 15 jaar plezier. Hoewel de klok een aantal jaren is teruggedraaid, gaat het verouderingsproces wel gewoon door. Door gezond te leven en goed voor je huid te zorgen, haal je het maximale uit de ingreep. De voorsprong die je krijgt door de operatie, houd je natuurlijk altijd.

Direct contact opnemen

MA - DO 08.00 - 18.00

VR 08.00 - 17.00

Vestigingen Stel een vraag

Wil je meer informatie over een onderooglidcorrectie?

Maak dan een afspraak voor een consult of neem contact met ons op.

Plan een intake
Of neem contact op: 088 - 7785201
MA - DO 08.00 - 18.00
VR 08.00 - 17.00
Bel 088 - 7785201