Vier 30 jaar Velthuis kliniek en ontdek onze jubileumacties! 

Lees meer
Velthuis kliniek app

Tel: 088 - 7785201

Voorhoofdslift

vanaf € 5.110,-

Voor een uitgeruste uitdrukking

Plan een intake
Of neem contact op: 088 - 7785201

MA - DO

08.00 - 18.00

VR

08.00 - 17.00

Of neem contact op

Vertrouw op Velthuis kliniek

Minimale littekens dankzij vernieuwde techniek

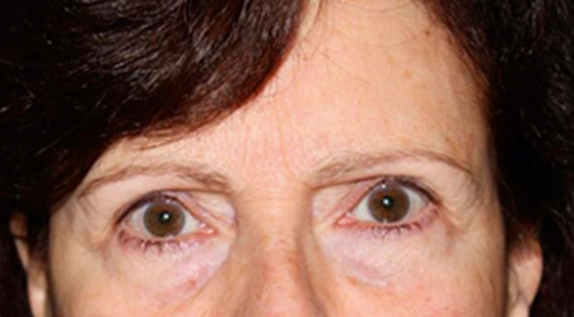
Heb je last van hangende wenkbrauwen?

Heb je een vermoeide, boze uitdrukking en een beperkt gezichtsveld? Daarbij heb je vaak ook last van hoofdpijn. Dit is ontzettend vervelend en hierdoor ben je de hele dag bezig met het optillen van je wenkbrauwen. Een voorhoofdslift lost dit probleem op. Door het botvlies aan te trekken gaan je wenkbrauwen omhoog. Het resultaat? Een uitgeruste uitdrukking zonder hangende wenkbrauwen.

Het behandeltraject

De stappen van een voorhoofdslift

  • Telefonische intake

    Telefonische intake

    Bel 088 – 7785201 (ma-do van 8-18 uur, vrij van 8-17 uur). Je krijgt dan een van de medewerkers van ons Informatiecentrum aan de lijn. Zij vragen je naar je klachten en je wensen en plannen op basis daarvan een consult in bij de arts die jou het beste kan helpen. Uiteraard houden we rekening met de plaats waar je woont en de dagen die voor jou handig zijn.

    Om het consult zo goed mogelijk voor te bereiden vragen we naar je medische achtergrond en je medicijngebruik. Ook ontvang je alvast informatie over de behandeling.

     

    Direct contact opnemen

    MA - DO 08.00 - 18.00

    VR 08.00 - 17.00

  • Advies gesprek met arts

    Consult met je behandelend arts

    Tijdens het consult spreek je de medisch consulente en de plastisch chirurg. De medisch consulente geeft je eerst informatie over de behandeling, de voor- en de nazorg. Zij zal je persoonlijke aanspreekpunt zijn tijdens het gehele behandeltraject. Het werkelijke consult volgt bij de plastisch chirurg.

    Bij Velthuis kliniek zie je altijd de arts die je later ook gaat behandelen. Je bespreekt samen je wensen en je verwachtingen. Hij/zij geeft je eerlijk advies over het te verwachten resultaat, de risico’s en het herstel.

    Besluit je de behandeling te doen, dan wordt alle informatie op papier gezet. Samen met de plastisch chirurg onderteken je deze behandelovereenkomst.

  • De behandeling

    Behandeling

    Voor de behandeling maken we foto's voor in je medisch dossier. Een voorhoofdslift wordt onder narcose of onder een “roesje” uitgevoerd.

    Eerst wordt de huid plaatselijk opgespoten met een speciale vloeistof die het bloedverlies sterk vermindert. Dan worden aan beide zijden van het voorhoofd drie kleine sneetjes van een centimeter in de haargrens gemaakt. De haren hoeven hiervoor niet te worden afgeschoren. Via de sneetjes worden een kleine camera en instrumenten ingebracht. Nu kan het botvlies onder de spieren van het voorhoofd worden losgemaakt; de verschillende gevoelszenuwen worden zo gespaard. Door het botvlies aan te trekken gaan de wenkbrauwen omhoog. Als de wenkbrauwen op de goede en natuurlijke hoogte zijn gebracht wordt het botvlies tijdelijk in deze stand vastgezet. Dat gebeurt meestal met oplosbare hechtingen. Het botvlies groeit hierna snel weer vast aan het bot. Het overschot aan huid hoeft op deze manier niet te worden weggesneden, maar wordt verdeeld naar achteren over de behaarde hoofdhuid en verdwijnt na enkele weken vanzelf.

    De ingreep duurt ongeveer een uur, afhankelijk van de uitgebreidheid.

  • Nazorg

    Nazorg

    Enkele uren na de ingreep mag je naar huis. Je mag niet zelf autorijden, neem dus iemand mee die je naar huis kan brengen. De dag na de ingreep mag je alweer kort douchen. De hechtingen worden verwijderd tijdens de controle na een week. De overige onderhuidse hechtingen lossen na verloop van tijd op. Na een week kun je weer gewoon douchen of in bad.

    Je voorhoofd zal nog een poosje blauw en gezwollen zijn. Deze zwelling verdwijnt vanzelf binnen een of twee weken. De blauwe plekken kunnen vanuit het voorhoofd naar beneden zakken en kunnen afhankelijk van de intensiteit een tot vier weken zichtbaar zijn. Ook kun je enkele dagen na de ingreep last hebben van hoofdpijn.

    Na een voorhoofdslift moet je enkele dagen rust nemen zodat je lichaam tijd heeft om te herstellen. Administratief werk mag na een dag weer worden gedaan. Pas na een week mag je lichte werkzaamheden hervatten, maar daarbij mag je niet bukken. Met zware lichamelijke inspanning of zwaar tillen moet je minimaal een maand wachten. De meeste mensen gaan na tien dagen weer aan het werk.

    Een voorhoofdslift geeft in de regel weinig napijn, mede door de pijnbestrijding voorafgaand aan de behandeling. Heb je toch last, neem dan een van de door ons voorgeschreven pijnstillers.

    Tijdens de eindcontrole op de kliniek worden er foto’s gemaakt voor in je medische dossier. Goed om te weten: de kliniek is 24/7 bereikbaar voor vragen of als je je zorgen maakt over je herstel.

  • Risico's

    Risico's

    Elke operatie brengt risico’s met zich mee. Er is een kleine kans op een allergische reactie op de verdovingsvloeistoffen, desinfecteermiddelen of pleisters, een infectie, trombose, verstoorde wondgenezing of een nabloeding. Ook zijn er kleine risico's verbonden aan de narcose.

    Specifieke complicaties bij een voorhoofdslift zijn de beschadiging van zenuwen in het gezicht, asymmetrie (die meestal vooraf ook al bestaat), haarverlies, vorming van verdikte littekens en blijvende gevoelloosheid in een deel van het voorhoofd. Wanneer je voor en na de behandeling niet enkele weken stopt met roken, kan de wondgenezing verstoord zijn en daarmee kan ook het uiteindelijke resultaat minder fraai zijn.

Welke plastisch chirurgen helpen je bij deze behandeling?

Deze artsen zijn gespecialiseerd in een voorhoofdslift. Zij zullen er alles aan doen om je die uitgeruste en frisse blik te geven die je zo graag wilt.

Maak kennis met onze specialisten

Kosten

Wat kost een voorhoofdslift?

De kosten van een voorhoofdslift worden bepaald door de uitgebreidheid van de behandeling en de keuze voor narcose of een roesje.

Meer informatie over een voorhoofdslift

Veelgestelde vragen

Hoe lang blijft het resultaat van een voorhoofdslift zichtbaar? Wanneer kan ik weer aan het werk? Het antwoord op deze vragen vind je hieronder. 

Hoe lang blijft het resultaat van een voorhoofdslift?

Gemiddeld heb je van een voorhoofdslift 5 tot 15 jaar plezier. Hoewel de klok een aantal jaren is teruggedraaid door de ingreep, gaat het verouderingsproces wel gewoon door. Door gezond te leven en goed voor je huid te zorgen haal je het maximale uit de ingreep.

Hoe goed zijn de littekens van een voorhoofdslift zichtbaar?

Dankzij de nieuwe endoscopische techniek kan er onderhuids met een camera gewerkt worden bij een voorhoofdslift. Er hoeven dan maar vier kleine sneetjes in de haargrens gemaakt te worden. Wanneer je voldoende haargroei hebt, zullen de sneetjes na verloop van tijd niet meer zichtbaar zijn. Een bijkomend voordeel van de endoscopische methode is dat de kans op complicaties vele malen minder is dan bij de traditionele voorhoofdslift.

Zijn er medicijnen die ik niet mag nemen?

Tijdens het eerste consult laat je de arts weten welke medicijnen je gebruikt. De arts zal dan adviseren met welke medicijnen je eventueel moet stoppen. Vanaf twee weken voor de ingreep mag je geen bloedverdunnende medicijnen meer nemen (dus ook geen aspirine).

Na hoeveel tijd kan ik weer aan het werk?

De meeste mensen gaan één tot twee weken na een voorhoofdslift weer aan het werk. Na een ingreep onder narcose moet je de eerste dagen rust nemen. Pas na een week mag je lichte huishoudelijke werkzaamheden verrichten, maar je mag daarbij niet bukken. Zware lichamelijke inspanning (ook tillen) mag de eerste maand na de ingreep niet. De genoemde termijnen zijn gemiddelden; het kan best zijn dat je je sneller weer fit voelt of dat het herstel juist wat langer duurt.

Direct contact opnemen

MA - DO 08.00 - 18.00

VR 08.00 - 17.00

Vestigingen Stel een vraag

Wil je meer informatie over een voorhoofdslift?

Maak dan een afspraak voor een consult of neem contact met ons op.

 

Plan een intake
Of neem contact op: 088 - 7785201
MA - DO 08.00 - 18.00
VR 08.00 - 17.00
Bel 088 - 7785201