Vier 30 jaar Velthuis kliniek en ontdek onze jubileumacties! 

Lees meer
Velthuis kliniek app

Tel: 088 - 7785201

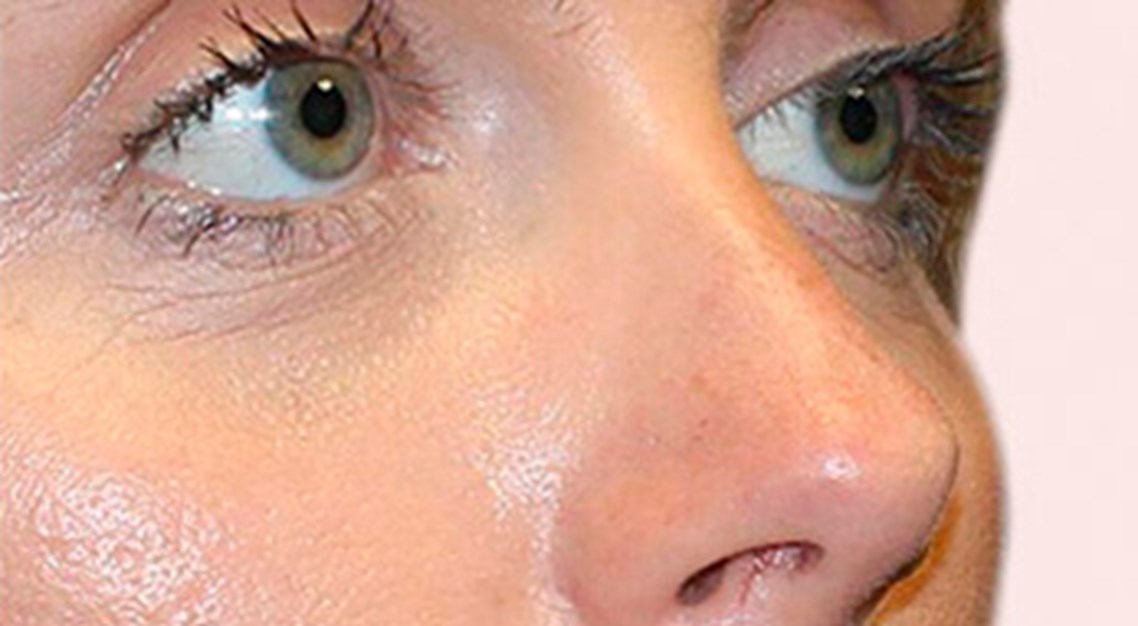
Traangoot

Weg met die donkere kringen onder je ogen met een traangoot filler

Of neem contact op: 088 - 7785201

MA - DO

08.00 - 18.00

VR

08.00 - 17.00

Traangootjes in het kort

  • Traangootjes ontstaan vooral door volumeverlies wanneer je ouder wordt of zijn van nature aanwezig.
  • Traangootjes zijn een belangrijke oorzaak voor donkere kringen onder je ogen.
  • De traangoot is te behandelen door het volumeverlies onder de ogen op te vullen met een traangoot filler.

Wil jij af van het volumeverlies en die donkere kringen onder je ogen?

Een traangoot is het geultje dat loopt vanuit je binnenste ooghoek richting je wang. De traangoot ontstaat vooral door volumeverlies wanneer je ouder wordt, maar kan ook al vanaf je jeugd van nature aanwezig zijn. Dit volumeverlies is een belangrijke oorzaak voor donkere kringen onder je ogen. Het doel van de traangoot behandeling is dan ook om het volumeverlies onder de ogen op te vullen met een filler, waardoor de schaduw onder de ogen minder wordt.

Het behandeltraject

De stappen van een behandeling

  • Telefonische intake

    Telefonische intake

    Bel 088 – 7785201 (ma-do van 8-20 uur, vrij van 8-17 uur). Je krijgt dan een van de medewerkers van ons Informatiecentrum aan de lijn. Zij vragen je naar je klachten en je wensen en plannen op basis daarvan een consult in bij de cosmetisch arts die jou het beste kan helpen. Uiteraard houden we rekening met de plaats waar je woont en de dagen die voor jou handig zijn.

    Om het consult zo goed mogelijk voor te bereiden vragen we naar je medische achtergrond en je medicijngebruik. Ook ontvang je alvast informatie over de behandeling.

    Direct contact opnemen

    MA - DO 08.00 - 18.00

    VR 08.00 - 17.00

  • Advies gesprek met arts

    Consult

    Tijdens het consult word je ontvangen door de cosmetisch arts. Zij geeft je informatie over de behandeling, de voor- en de nazorg. Je bespreekt samen je wensen en je verwachtingen. De cosmetisch arts kan je precies uitleggen welke behandeling voor jou het meest geschikt is. Zij geeft je eerlijk advies over het te verwachten resultaat, de risico’s en het herstel. 

    Tijdens dit consult beoordeelt de cosmetisch arts of je geschikt bent voor de behandeling. Helaas is het zo dat niet iedereen in aanmerking komt voor een filler behandeling. Dit kan het geval zijn wanneer je last hebt van zogenaamde zakjes onder de ogen, wat op vocht duidt. Dit is een contra-indicatie voor een filler behandeling, omdat fillers vocht aantrekken en het probleem dan erger kan worden. Tevens kunnen ook geen fillers geplaatst worden wanneer je een donkere kleur/pigment onder de ogen hebt, omdat er dan geen sprake is van volumeverlies en fillers het probleem dan niet oplossen.

    Besluit je de behandeling te doen, dan wordt alle informatie op papier gezet. Samen met de cosmetisch arts onderteken je deze behandelovereenkomst.

  • De behandeling

    De behandeling

    De traangoot is te behandelen door het volumeverlies onder de ogen op te vullen met een filler. Voor de filler behandeling maken we foto's voor in je medisch dossier. Een extra verdoving is bij deze behandeling niet nodig, aangezien de behandeling niet pijnlijk is. Vervolgens wordt de vloeistof met een dunne naald of canule onder de huid geïnjecteerd. Deze filler behandeling duurt duurt ongeveer 20 minuten.

  • Nazorg

    Nazorg

    Na de behandeling mag je meteen naar huis. Soms kan de huid wat rood zien en er kan sprake zijn van lichte zwelling of blauwe plekjes op de inspuitplaatsen. Deze bijwerkingen verdwijnen vanzelf. Na een filler behandeling mag je de behandelde plek na 24 uur voorzichtig reinigen en make-up dragen. Stel je gezicht de eerste 2 weken na de behandeling niet bloot aan intense warmte (bijvoorbeeld zon, solarium of sauna) of andere intense gezichtsbehandelingen. Tijdens de eindcontrole op de kliniek worden er foto’s gemaakt voor in je medische dossier.

    Goed om te weten: de kliniek is 24/7 bereikbaar voor vragen of als je je zorgen maakt over je herstel.

  • Risico's

    Risico's

    Er zijn over het algemeen geen complicaties, gevaren of nadelen bij deze behandeling. Zoals bij elke behandeling bestaat het risico van infectie en een allergische reactie. Beide risico’s zijn minimaal.

Wat kost een traangoot behandeling?

De prijs hangt samen met het soort behandeling dat voor jou geschikt is. Een correcte indicatie krijg je na een eerste consult, op basis van de goede analyse. 

Juvéderm filler

Een behandeling van de traangootjes met een Juvederm filler, voor meer volume en subtiele verbetering van de gezichtscontouren.

€550,-

TEOSYAL® PureSense Redensity II filler

De Teosyal Redensity II is de enige filler die specifiek ontwikkeld is voor het gebied onder de ogen.

€ 550,-
Welke specialisten helpen je bij deze behandeling?

Onze cosmetisch artsen zijn gespecialiseerd in de traangoot behandeling. Zij zullen er alles aan doen om je volumeverlies te herstellen.

Maak kennis met onze specialisten

Meer informatie over de traangoot behandeling

Veelgestelde vragen

Hoe lang blijft het resultaat van een traangoot behandeling zichtbaar? Wanneer kan ik weer aan het werk? Antwoorden op deze veelgestelde vragen vind je hier.

Hoe lang blijft het resultaat zichtbaar?

De duur van het resultaat kan per persoon verschillen. Het resultaat kan tot vierentwintig maanden zichtbaar blijven. Dan zijn de fillers bij de meeste mensen uitgewerkt en kan de behandeling zonder problemen herhaald worden.

Wanneer kan ik weer aan het werk?

Je kunt na een filler behandeling direct weer aan het werk. Je kunt de behandeling bij wijze van spreken tijdens je lunch ondergaan. De meeste mensen gaan de volgende dag weer werken.

Wat is hyaluronzuur?

Hyaluronzuur is een stof die van nature in de huid voorkomt. Omdat hyaluronzuur erg veel vocht aantrekt en vast kan houden, vult het de huid van binnenuit op. De stof wordt binnen een of twee dagen afgebroken, dus maakt het lichaam voortdurend nieuw hyaluronzuur aan. Als we ouder worden, vertraagt dit proces echter. Door een hyaluronzuurfiller in te spuiten, wordt de huid opnieuw voller en soepeler en kunnen rimpels opgevuld worden.

Direct contact opnemen

MA - DO 08.00 - 18.00

VR 08.00 - 17.00

Vestigingen Stel een vraag

Wil je meer informatie over de traangoot behandeling?

Maak dan een afspraak voor een consult bij een van onze cosmetisch artsen of neem contact met ons op.

Plan een intake
Of neem contact op: 088 - 7785201
MA - DO 08.00 - 18.00
VR 08.00 - 17.00
Bel 088 - 7785201