Vier 30 jaar Velthuis kliniek en ontdek onze jubileumacties! 

Lees meer
Velthuis kliniek app

Tel: 088 - 7785201

Bovenooglidcorrectie

vanaf 1.325,-

Last van zware oogleden? Daar kunnen we wat aan doen!

Plan een intake
Of neem contact op: 088 - 7785201

MA - DO

08.00 - 18.00

VR

08.00 - 17.00

Of neem contact op

Vertrouw op Velthuis kliniek

Behandeling onder plaatselijke verdoving, waardoor je snel weer naar huis kunt

Altijd een natuurlijk resultaat

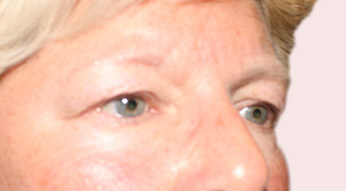
Als je oogleden gaan hangen, zie je er al snel vermoeid uit

Zware, hangende oogleden maken het moeilijker je ogen goed te openen. Een hangend ooglid wordt ook wel ptosis genoemd. Een veel voorkomende oorzaak van hangende bovenoogleden is huidoverschot boven de ogen. Door middel van een bovenooglidcorrectie wordt dit huidoverschot onder plaatselijke verdoving verwijderd. Deze ingreep duurt ongeveer 30 minuten en is een veel voorkomende behandeling; Velthuis kliniek doet dit dagelijks!

Video resultaten

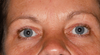
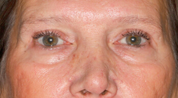
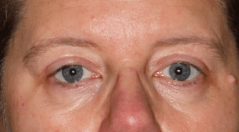
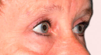
Resultaat van een bovenooglidcorrectie

Uit het tv-programma 'Het zit in de familie'

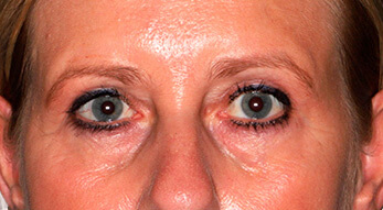
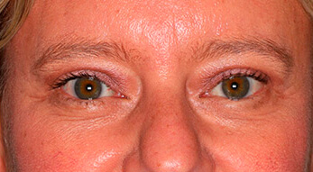
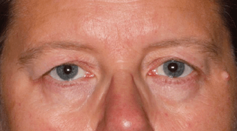
Resultaat van een bovenooglidcorrectie

Uit het tv-programma 'Het zit in de familie'

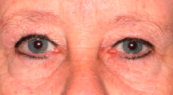
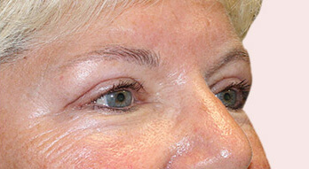
Mini-docu van een bovenooglidcorrectie

Uit een LINDA TV serie 'Onder de loep'

Animatie van een bovenooglidcorrectie

Het behandeltraject

De stappen van een bovenooglidcorrectie

  • Telefonische intake

    Telefonische intake

    Bel 088 – 7785201 (ma-do van 8-18 uur, vrij van 8-17 uur). Je krijgt dan een van de medewerkers van ons Informatiecentrum aan de lijn. Zij vragen je naar je klachten en je wensen en plannen op basis daarvan een consult in bij de arts die jou het beste kan helpen. Uiteraard houden we rekening met de plaats waar je woont en de dagen die voor jou handig zijn.

    Om het consult zo goed mogelijk voor te bereiden vragen we naar je medische achtergrond en je medicijngebruik. Ook ontvang je alvast informatie over de behandeling.

    Direct contact opnemen

    MA - DO 08.00 - 18.00

    VR 08.00 - 17.00

  • Advies gesprek met arts

    Consult met je behandelend arts

    Tijdens het consult spreek je de medisch consulente en de plastisch chirurg. De medisch consulente geeft je eerst informatie over de behandeling, de voor- en de nazorg. Zij zal je persoonlijke aanspreekpunt zijn tijdens het gehele behandeltraject. Het werkelijke consult volgt bij de plastisch chirurg.

    Bij Velthuis kliniek zie je altijd de arts die je later ook gaat behandelen. Je bespreekt samen je wensen en je verwachtingen. De arts kan je precies uitleggen welke behandeling voor jou het meest geschikt is. Hij/zij geeft je eerlijk advies over het te verwachten resultaat, de risico’s en het herstel. Besluit je de behandeling te doen, dan wordt alle informatie op papier gezet. Samen met de plastisch chirurg onderteken je deze behandelovereenkomst.

  • De behandeling

    De behandeling

    Voor de behandeling maken we foto's voor in je medisch dossier. Vervolgens krijg je een plaatselijke verdoving. De injecties hiervoor kunnen even pijnlijk zijn, maar daarna voel je van de behandeling niets. Soms kan een ooglidcorrectie ook onder “een roesje” worden uitgevoerd. Het gebeurt zoals jij het prettig vindt. Want bij ons ben je in goede handen.

    De plastisch chirurg tekent op het bovenste ooglid nauwkeurig aan hoeveel huid er verwijderd moet worden. Dan snijdt hij een reepje huid weg. Soms wordt er ook een stukje van de oogkringspier weggenomen. Zit er te veel vet, dan wordt dat ook verwijderd. Na de ingreep worden de kleine bloedvaatjes vaatjes dichtgebrand en het sneetje weer gehecht. We koelen de oogomgeving meteen, om zwelling zoveel mogelijk tegen te gaan.

  • Nazorg

    De nazorg

    Na de operatie mag je na een kwartier koelen naar huis. Je mag niet zelf autorijden, neem dus iemand mee die je naar huis kan brengen. De eerste dagen zijn je ogen gezwollen en blauw. Goed en regelmatig koelen helpt daartegen. Na een week mogen de hechtingen eruit en ben je meestal wel weer toonbaar. Soms blijft de huid nog langer rood zien; vooral bij een dunne huid kan dit wel enkele maanden duren. Een bovenooglidcorrectie geeft in de regel weinig napijn. Heb je toch last, neem dan een paracetamol. 

    Het resultaat is na het wegtrekken van de zwelling al goed te zien. Het uiteindelijke resultaat is na enkele maanden zichtbaar. Tijdens de eindcontrole op de kliniek worden er foto’s gemaakt voor in je medische dossier.

    Goed om te weten: de kliniek is 24/7 bereikbaar voor vragen of als je je zorgen maakt over je herstel.

  • Risico's

    Risico's

    Elke operatie brengt risico’s met zich mee. Er is een kleine kans op een allergische reactie op de verdovingsvloeistoffen, desinfecteermiddelen of pleisters, een infectie, trombose, verstoorde wondgenezing of een nabloeding.

    Een specifieke complicatie bij een ooglidcorrectie is dat je tijdelijk last kunt hebben van droge ogen na de operatie. Dit is eenvoudig te verhelpen met druppeltjes. Lees ook voor meer informatie de chirurgische bijsluiter bovenooglidcorrectie van de Nederlandse Vereniging voor Plastische Chirurgie.

Welke plastisch chirurgen helpen je bij deze behandeling?

Deze artsen zijn gespecialiseerd in bovenooglidcorrecties. Zij zullen er alles aan doen om je de frisse oogopslag te geven die je zo graag wilt.

Maak kennis met onze specialisten

Kosten

Wat kost een bovenooglidcorrectie?

Tijdens het consult zal de arts de verschillende behandelmogelijkheden met je bespreken. Wat je ook kiest, je bent bij Velthuis kliniek verzekerd van de allerbeste zorg.

Wanneer het zicht ernstig is beperkt door verslapping of verlamming van bovenoogleden wordt een bovenooglidcorrectie vergoed vanuit de basisverzekering. Daaraan zijn wel regels verbonden. Indien er voldaan wordt aan de criteria van de zorgverzekeraar wordt de behandeling vergoed. 

 

Meer informatie over bovenooglidcorrecties

Veelgestelde vragen

Na hoeveel tijd kan ik weer aan het werk? Mag ik lenzen dragen na een ooglidcorrectie? Het antwoord op deze vragen vind je hier. 

Na hoeveel tijd kan ik weer aan het werk?

De meeste mensen gaan na een bovenooglidcorrectie na een week weer aan het werk. Dat komt vooral omdat je de eerste week niet toonbaar bent. Je mag die week al wel licht huishoudelijk werk doen. Zware lichamelijke inspanning mag de eerste maand na de operatie niet. De genoemde termijnen zijn gemiddelden.

Mag ik lenzen dragen na een ooglidcorrectie?

Je mag nadat de hechtingen zijn verwijderd weer lenzen dragen, mits je niet aan de oogleden hoeft te trekken om ze in en uit te doen. De eerste paar weken kan het dragen van lenzen vervelend aanvoelen, dit gaat snel over. Je mag gewoon een bril dragen.

Hoe lang blijft het resultaat zichtbaar?

Gemiddeld heb je van een ooglidcorrectie 10 tot 15 jaar plezier. Hoewel de klok een aantal jaren is teruggedraaid, gaat het verouderingsproces wel gewoon door. Door gezond te leven en goed voor je huid te zorgen, haal je het maximale uit de ingreep. De voorsprong die je krijgt door de operatie, houd je natuurlijk altijd.

Wanneer ben ik weer toonbaar? 

Na ongeveer een week ben je weer goed toonbaar. De eerste week zitten de hechtingen nog in de bovenoogleden en is er soms nog wat te zien van de resten van een bloeduitstorting.

Is de verdoving pijnlijk? 

Nee, de huid van de bovenoogleden is erg dun en daardoor makkelijk te verdoven met een dun naaldje.

Wat zijn mogelijke oorzaken van hangende oogleden?

Een veel voorkomende oorzaak van hangende bovenoogleden is huidoverschot boven de ogen. Door middel van een bovenooglidcorrectie wordt dit huidoverschot onder plaatselijke verdoving verwijderd. Deze ingreep duurt ongeveer 30 minuten en is een veel voorkomende behandeling; Velthuis kliniek doet dit dagelijks!

Een andere oorzaak van hangende bovenoogleden is laagstand van het bovenooglid door een niet goed functionerend spiertje. Dit is echt een wezenlijk andere aandoening, waarvoor ook een aparte behandeling nodig is. Het spiertje is in dit geval wat losgeraakt van bovenooglid. Door middel van een zogenaamde ptosiscorrectie wordt het spiertje opnieuw vastgehecht aan het bovenooglid. Ook deze ingreep wordt uitgevoerd onder plaatselijke verdoving en duurt ongeveer 45 tot 60 minuten.

Direct contact opnemen

MA - DO 08.00 - 18.00

VR 08.00 - 17.00

Vestigingen Stel een vraag

Wil je meer informatie over een bovenooglidcorrectie?

Maak dan een afspraak voor een consult of neem contact met ons op.

Plan een intake
Of neem contact op: 088 - 7785201
MA - DO 08.00 - 18.00
VR 08.00 - 17.00
Bel 088 - 7785201